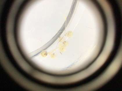
6/4 5年生 理科 メダカの卵 公開日 2024/06/04 更新日 2024/06/04 活動の記録(その他) 双眼実体顕微鏡でメダカの卵を観察しました。 白目と黒目がわかる目玉や、しっぽの形まで見ることができました。 顕微鏡の写真を撮るのに苦労しました。5年生が手伝ってくれました。 校長