新着情報一覧

5月18日の東広瀬小学校(25)

公開日
2022/05/18
更新日
2022/05/18

活動の様子

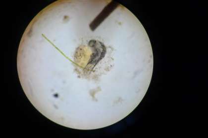
顕微鏡をのぞくと、メダカの卵がもうすぐ孵化する様子を観察できました。

デジタルカメラやタブレットでも、顕微鏡の写真を撮ることができます。